Skip Menu
25 Valley Drive, Greenwich, CT 06831
(203) 862-9000
Logo Adult & Pediatric Dentistry
Adult & Pediatric Dentistry
  • Home
  • About Us
    • Our Office
    • New Patients
    • Office Tour
    • Smile Gallery
    • Dental Videos
    • Testimonials
  • Meet Our Doctors
    • Robert N. Tramposch, DDS
    • Hanna Benelhachemi, DDS
    • Zaneta I. Hwang, DDS
  • Meet Our Staff
  • Services
      • Ceramic Crowns
      • ClearCorrect®
      • Cosmetic Dentistry
      • Dental Bridges
      • Dental Fillings
      • Dentures
      • Emergency Treatment
      • Extractions
      • Invisalign®
      • Night Guards
      • Pediatric Dentistry
      • Root Canals
      • Sedation Dentistry
      • Sleep Apnea
      • Snoring Appliances
      • Sports Mouthguards
      • Teeth Whitening
      • TMJ Disorders
      • VELscope® Cancer Screening
      • Veneers
    • View All
  • Dental Health
  • Contact Us
    • Contact Us
    • Request Appointment

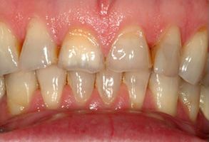
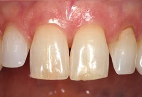
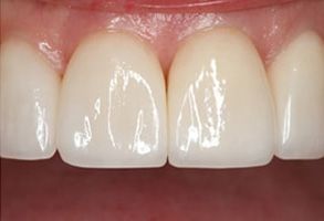
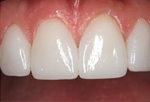
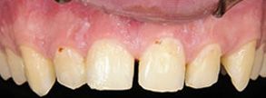
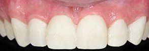
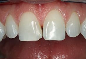
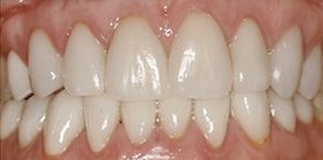
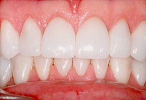
Smile Gallery

25 Valley Drive, Suite 2A
Greenwich, CT 06831

Greenwich Smiles Kids
Pediatric Dentistry